
Bàng hoàng phát hiện dị tật tim bẩm sinh sau hơn 30 năm sống khỏe mạnh
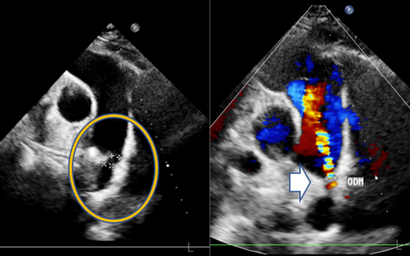
Phần lớn dị tật tim bẩm sinh được phát hiện ngay từ khi còn nhỏ. Tuy nhiên, vẫn có một số trường hợp bệnh tiến triển âm thầm và chỉ được phát hiện lúc trưởng th
Cập nhật những tin tức mới nhất về thị trường bất động sản Việt Nam
Phần lớn dị tật tim bẩm sinh được phát hiện ngay từ khi còn nhỏ. Tuy nhiên, vẫn có một số trường hợp bệnh tiến triển âm thầm và chỉ được phát hiện lúc trưởng th
Hoàn toàn tự nhiên, thơm ngon thanh mát lại vô cùng tiện lợi là những lý do khiến Trà trái cây TH true TEA trở thành “cạ cứng” được hội GenZ chăm rèn luyện thể
Thương hiệu tiên phong cung cấp giải pháp sức khỏe toàn diện - Panasonic Việt Nam đang thực hiện chương trình livestream "Sống khỏe" với mong muốn truyền cảm hứ
Ruột được ví như “bộ não thứ hai” của cơ thể vì nó là cơ quan tối quan trọng. Nếu không có ruột, con người không thể nhận năng lượng từ thực phẩm, cơ thể sẽ khô
Ngày nào cũng uống đồ uống có cồn nhưng lại sống thọ và khỏe mạnh nghe có vẻ rất vô lý. Thế nhưng cụ bà Esperanza Cortiñas (Tây Ban Nha) lại làm được điều này.
Ở tuổi 55, chị Hạnh bắt đầu thay đổi từng thói quen nhỏ trong gian bếp: từ cách nấu nướng, bảo quản đồ ăn đến lựa chọn thiết bị. Sau 1 năm, chị nhận ra mình sốn
Sau một năm 2024 bùng nổ, thị trường livestream được dự đoán sẽ tiếp tục có thay đổi đáng kể trong năm 2025.
Đi bộ bao nhiêu bước mỗi ngày mới thực sự tốt cho sức khỏe?
Các chuyên gia cho biết, rau là nguồn thực phẩm cung cấp vitamin - khoáng chất quan trọng, thiếu nó cơ thể sẽ gặp trục trặc và hệ quả về sau.
Nam diễn viên 78 tuổi gây sốt khi tạo dáng trên thảm đỏ với quần jean và áo phông bó sát, để lộ thân hình lực lưỡng.
Mỗi người sẽ có những bí quyết khác nhau để kéo dài tuổi thọ.
Nhật Bản là quốc gia nổi tiếng với tuổi thọ trung bình cao. Tuy nhiên ít ai biết rằng bí quyết sống lâu của họ lại đến từ những thói quen đơn giản hàng ngày.
Hai ngày 28 và 29/12/2024 vừa qua, tại Aeon Mall Hà Đông, sự kiện “Cộng đồng sống khỏe cùng Panasonic – Hướng đến kỷ lục 1 triệu cây xanh” đã diễn ra với không